Trattamenti di ortodonzia per bambini e adulti a Terni
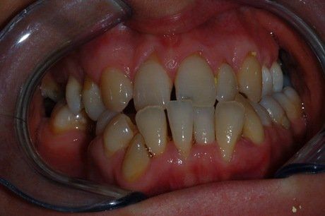
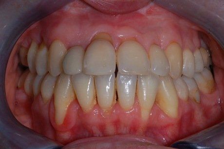
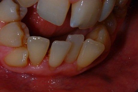
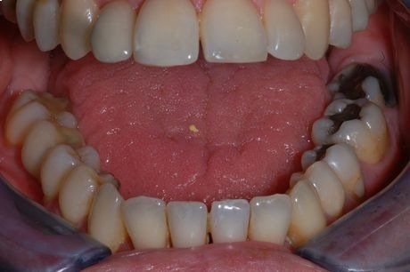
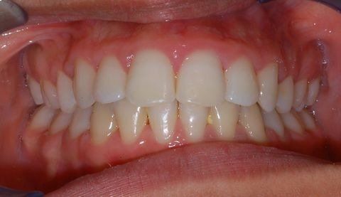
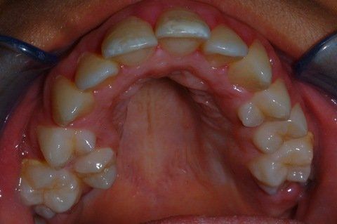
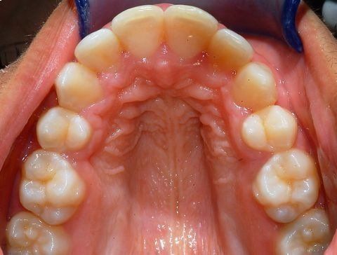
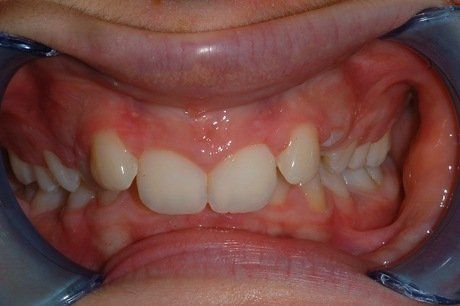
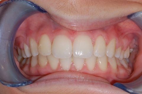
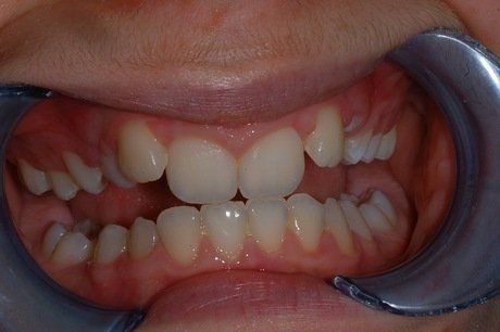
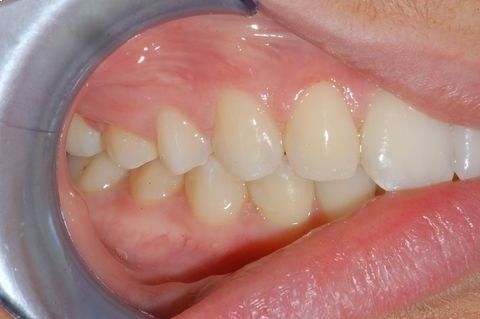
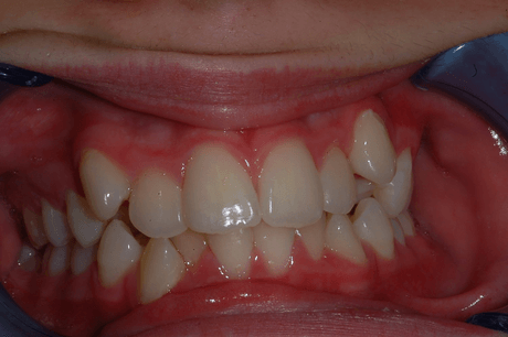
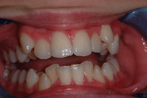
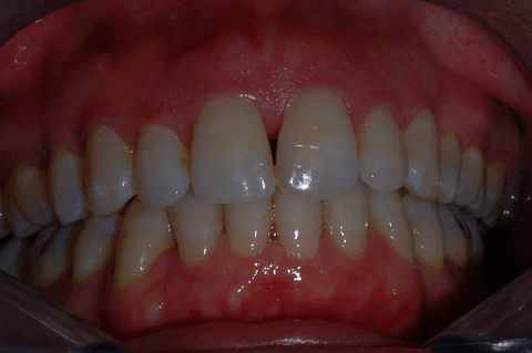
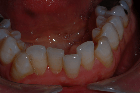
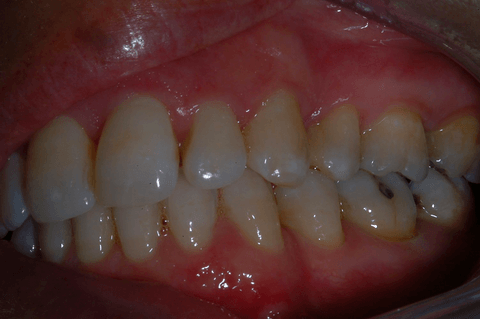
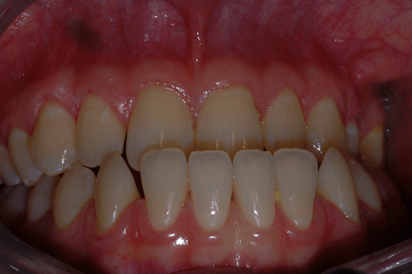
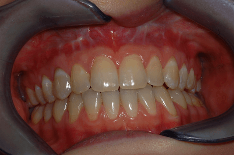
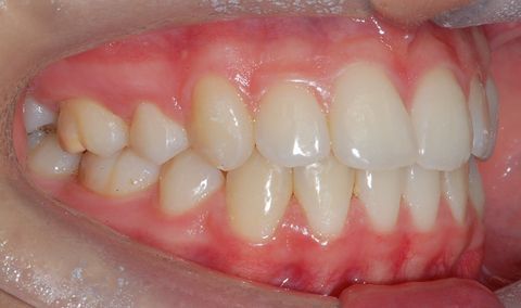
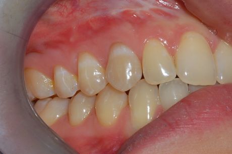
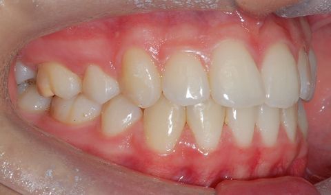
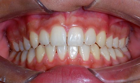
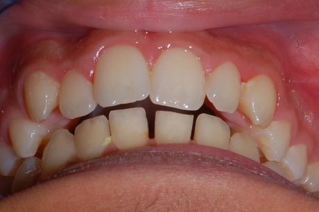
L'ortodonzia è la disciplina odontoiatrica che si occupa dello studio, della diagnosi e della terapia della posizione anomala di uno o più elementi dentali, per il danno che questa alterazione porta sull'estetica del volto e sulle funzioni della respirazione, masticazione e fonazione.
Le terapie, la prevenzione e la correzione di anomalie dentali
L'ortognatodonzia, più propriamente, è la disciplina medico-stomatologica che si occupa della correzione delle malformazioni dei mascellari (regione anatomica maxillo-mandibolare) e delle alterazioni della crescita e dello sviluppo degli stessi, al fine di determinare una correzione stabile della malocclusione esistente. Ha lo scopo di prevenire, eliminare o attenuare le anomalie mantenendo o riportando i denti e il profilo facciale nella posizione più corretta possibile.
La pratica ortodontica si avvale di:
- Apparecchiature ortodontiche fisse
- Apparecchiature ortodontiche mobili,
- Terapie chirurgiche,
- Terapie biomeccaniche,
- Trattamento chirurgico-ortodontico dei denti inclusi e trasposti,
- Ortodonzia dell'adulto e pre-protesica,
- Contenzione
Grazie alla conoscenza approfondita dell'ortodonzia, gli specialisti del centro medico odontoiatrico Agostini Cappelletti offrono, fin dal 1983, trattamenti ortodontici mirati, sia per adulti che per bambini, provvedendo al miglioramento della masticazione, della respirazione e dell'estetica facciale dei pazienti. Il centro medico odontoiatrico Agostini Cappelletti, dopo aver trattato gli adolescenti negli anni ottanta ed i loro figli nei primi anni duemila, oggi sta trattando la terza generazione di pazienti, cioè i nipoti dei primi adolescenti trattati.
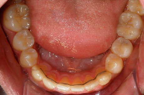
Trattamenti di ortodonzia invisibile
L'ortodonzia classica ha a sempre utilizzato apparecchi fissi per la correzione della posizione dei denti, i quali però andavano ad incidere sul sorriso del paziente.
Il centro medico odontoiatrico Agostini Cappelletti suggerisce sistemi di "allineatori estetici", ovvero soluzioni che permettono ai pazienti di beneficiare di un trattamento ortodontico praticamente invisibile.
Il trattamento consiste in una serie di mascherine trasparenti che spostano progressivamente i denti fino ad ottenere il sorriso desiderato e senza alcuna preoccupazione estetica per tutto il tempo del trattamento ortodontico.
Questo sistema non prevede fili o attacchi fissi ai denti, trattandosi infatti di un apparecchio mobile e che garantisce la totale libertà di mangiare e lavarsi i denti.
L’evoluzione della tecnica e gli ultimi progressi dell’informatica tridimensionale permettono, sulla base dell’impronta dei denti, delle foto e del piano di trattamento stabilito dal dentista, di creare una serie di mascherine trasparenti che vengono sostituite man mano che i denti si spostano.
Ogni mascherina viene indossata per due settimane e millimetro dopo millimetro, i denti si spostano fino ad assumere la posizione desiderata.
La durata è la stessa di quella di un trattamento tradizionale e sono comunque necessarie le visite di controllo ogni sei settimane circa per monitorare i progressi ottenuti.
Pedodonzia e prevenzione orale
La pedodonzia, chiamata anche odontoiatria pediatrica, è una branca dell'odontoiatria rivolta esclusivamente ai bambini. L'attenzione è dedicata principalmente alla dieta e alla prevenzione di carie, consigliando un'accurata igiene orale e individuando la presenza di disgnazia precoce, ossia alterata conformazione delle mascelle che impedisce una perfetta occlusione dentale. Le patologie riscontrate più frequentemente includono le carie (malattia infettiva che può avere un'evoluzione anche molto rapida), la pulpite (più presente negli adulti), ascesso (raccolta di pus) e la sindrome da biberon (tipologia di carie acuta dei denti decidui molto presente nei bambini).

























